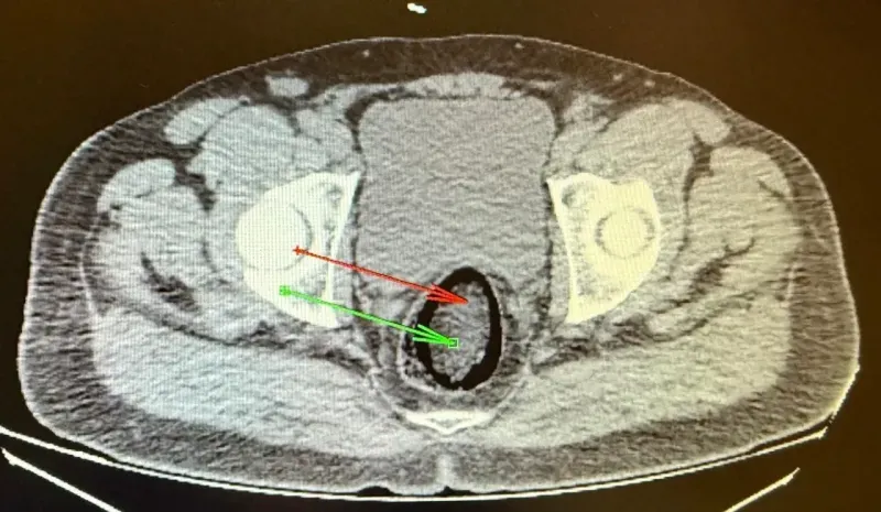
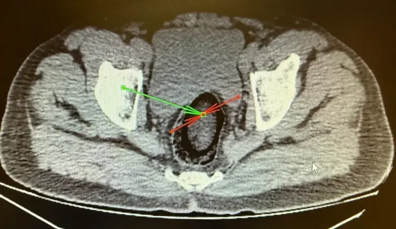
Kars Emniyet Müdürlüğü Narkotik Suçlarla Mücadele Şube Müdürlüğü ekipleri, Digor-Kars kara yolunda yaptığı uygulamada, yolcu otobüsünde arama yaptı. Polis, hareketlerinden şüphelendiği F.H.'yi gözaltına aldı. Kars Harakani Devlet Hastanesi'ne götürülen F.H.'nin çekilen röntgeninde, makatında uyuşturucu tespit edildi. 105,98 gram metamfetamin, cerrahi operasyonla çıkarıldı. Emniyetteki işlemlerinin ardından adliyeye sevk edilen şüpheli, çıkarıldığı hakimlik tarafından tutuklandı.



Muhabir: Haber Merkezi





